Кастрацией правильно называть операцию и у самцов, и у самок, при которой удаляются яички у самцов и яичники с маткой у самок. Термин «стерилизация» по отношению к самкам в ветеринарии часто используется неверно.
❗ Хирургическая кастрация предпочтительнее химической (Супрелорин).
ПОЧЕМУ ЭТО ВАЖНО
Кастрация — безопасная плановая операция, если проведена вовремя. Помогает предотвратить множество заболеваний:
👉 опухоли яичников, матки и молочных желез у самок (на фото ниже, об этом здесь и здесь);

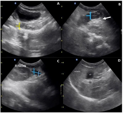
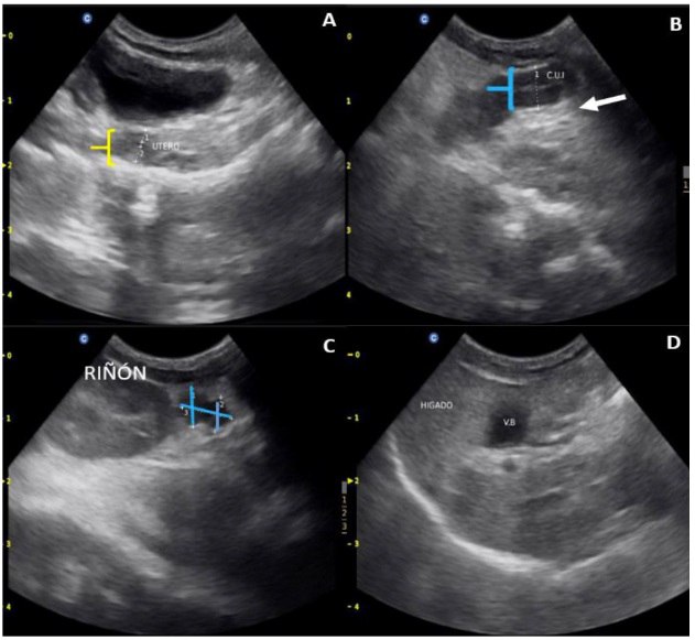
Ультразвуковые находки у самки суриката перед операцией (отечная матка, левый яичник с кистами, повышенная эхогенность печени)

Узловые образования (лютеома) в левом яичнике суриката, выявленные во время операции
👉 воспаление яичников и пиометру (гнойное воспаление матки);
👉 простатит, опухоли семенников и гормонозависимые новообразования у самцов.
☑️ Также кастрация – действенный метод снизить «аллергенность» суриката для человека.
ВАЖНО! Кастрация до полового созревания, когда вес животного около 400 г, яички у самцов уже опустились, а у самок гормональный фон еще не активен, позволяет избежать не только проблем со здоровьем, но и многих поведенческих трудностей. Позднее — уже считается запоздалой (самки способны забеременеть в 3 месяца)❗️
⚠️ ОПАСНОСТЬ ПОЗДНЕЙ КАСТРАЦИИ
У суриката ярко выражено соперничество за статус. Он может воспринимать хозяина как конкурента. Гормоны усиливают агрессию, метки, территориальное поведение и специфический запах. Кастрация же действует с точностью наоборот.
Однако важно понимать: при поздней кастрации (после начала гормональной активности) в 80 % случаев нежелательное поведение уже закрепляется❗️
Операция же часто проводится, когда животное уже проявляет агрессию, «метит» дом или у самки развились воспаления. В этот момент гормональный фон уже запущен, и операция помогает лишь частично. К тому же у взрослых животных повышается риск осложнений под наркозом, заживление может проходить дольше.
Толчком для агрессии может стать любой стресс — переезд, боль, встреча с другим животным. В отличие от кастрированных животных, у которых стресс обычно вызывает лишь тревогу или недоверие, у некастрированных он может спровоцировать яростное нападение на людей или других питомцев. Коррекция такого поведения занимает месяцы.
☑️ Также поздняя кастрация может приводить к проблемам с лишним весом.
☑️ И еще... непахнущих фертильных самцов не бывает. Вы просто принюхались😁🤷♀
Хозяйка приюта сурикатов в Екатеринбурге, Юлия, так описывает свой опыт:
"Рано кастрированы Коло, Кузя, Монти, Тимон, близнецы Пашка с Мишкой. Поведение отличается в лучшую сторону, они наивные дети, а не матерые самцы — но главное не это.
Ранняя кастрация — это здоровье. Если успеть до созревания, можно избежать многих поведенческих моментов. Легко переносят наркоз, заживает все намного быстрее.
Пример: Тэя, стерилизация в 2 года, воспаление яичников; Мила — в 4 года, гной в матке; Лаги — 1,5 года, гной в матке; Бэн — 7 лет, простатит.
Поэтому я за раннюю кастрацию и стерилизацию ДО гормонального созревания ради здоровья. На поведение тоже влияет, но 100 % гарантии нет, однако вероятность сохранить адекватную психику очень высока."
А это слова Светланы, хозяйки сурикатов Ластика и Зеленки из г. Москва (подробный рассказ читайте по ссылке):
"Мы сделали ЭТО Ластику и Зелёнке одновременно, когда малышам исполнилось 8 месяцев, в ветеринарной клинике Питомец. Решение было принято осознанно и ответственно - наши малявки брат и сестрёнка из одного помёта!"

На фото сурикаты Ластик и Зеленка (Москва) - ТГ-канал "Сурикаты Ластик и Зеленка".
ОПЕРАЦИЯ И ПОСЛЕДУЮЩИЙ УХОД
Кастрацию сурикатов безопаснее проводить под газовым наркозом (изофлуран или севофлуран - об этом здесь) или медитином. После операции животное держат в тепле, поят малыми порциями, надевают воротник на 2–3 дня. Обязательно дают антибиотик (Синулокс, Синуксол или Кладакса 50 мг — по ½ таблетки 2 р/день, 7 дней). Однократного обезболивания в клинике будет достаточно. Шов осматривают ежедневно. Полное восстановление обычно через 7–10 дней.
При вялости, отёке или отсутствии аппетита посетите ветеринара❗️
ПОМНИТЕ! Некастрированных животных следует обследовать два раза в год (УЗИ)!
� Обсудить статью и задать интересующие вас вопросы можно в нашем Telegram-чате.
⚠️ Важно для владельцев сурикатов:
|